Skip to main content

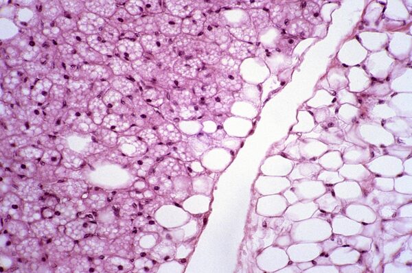
Brown (multilocular) and white (unilocular) fat or adipose cells.Dr. Fred Hossler

Fat. Most of us think of it as the unwanted wobbly bits of our bodies. The stubborn padding around our thighs. The unhealthy bulge of our bellies, accumulated by eating too much and exercising too little.

Dr. Shingo Kajimura sees fat as something much more complex and delightful. More than a decade ago, as a graduate student, the cell and tissue biologist peered into a microscope and became enchanted with the intricate lace of translucent, bubble-like fat cells. Ever since, he has regarded fat as something beautiful, miraculous and mysterious. His fascination with it has led him to the frontiers of obesity research.

At his lab at the University of California, San Francisco, Kajimura is studying how to engineer fat cells to fight obesity.

He's in good company. Researchers around the world are now examining fat with new interest, joining a quest to use fat to our advantage. More specifically, they're looking for ways to treat and prevent obesity by maximizing the body's brown fat, a kind of tissue that acts as a natural furnace. The jackpot would be to develop a drug that can make our bodies produce more brown fat, or to crank up the activity of the brown fat we already have.

Scientists have long known there are two types of fat – energy-storing white fat and energy-burning brown fat. White fat is the stuff we try to shed with our New Year's diets and exercise regimens. Carrying too much of it leads to obesity and illnesses, such as diabetes and heart disease. Brown fat, the thermogenic or heat-generating kind, exists in human newborns, protecting them from cold since they've yet to develop the muscles to shiver. Hibernating mammals, such as bears, store large quantities of brown fat, which allows them to withstand winters.

In humans, it was widely believed that brown fat disappeared as babies develop, vanishing altogether long before we reached adulthood. But in 2009, a series of scientific papers published in the New England Journal of Medicine showed the existence of brown fat in adult humans. The finding was huge, amounting to the discovery of an entirely new organ system no one knew existed in adults.

"It just doesn't happen every day," says Dr. Gregory Steinberg, the Canada Research Chair in metabolism and obesity, and professor at McMaster University's department of medicine.

None of us actually possesses very much brown fat. It's estimated that healthy adults typically have only 50 to 60 grams of it, located mostly in the neck around the collar bones. Small amounts of it can also be found along the spine. This can burn at least 200 kilocalories a day – which doesn't seem like a lot. That's the caloric equivalent of about four Timbits. But over time, that's sufficient enough to have a profound effect on a person's body weight.

Unlike white fat cells, brown fat cells contain a lot of mitochondria, which are the cells' power plants. These mitochondria are rich in iron, which give the cells their brown colour.

Although he wasn't involved in the 2009 research, Steinberg explains the discovery of brown fat in adult humans opened a new avenue to correct energy imbalances that lead to obesity. While diets and appetite-suppressing drugs can effectively reduce energy intake, they often make people feel cranky and miserable. And increasing energy expenditure can be tricky too. If you've ever tried losing weight through exercise alone, you'll understand how difficult it is to work off that morning doughnut or postlunch cheesecake at the gym.

Plus, the hardest part for most people isn't losing extra weight; it's trying to keep that weight off.

The existence of brown fat means it now may be possible to regulate energy imbalances by taking advantage of this natural furnace, Steinberg says. Other than exercise, "if you want to affect energy expenditure, this is really the only way to do it."

The question is how? Within the past few years, scientists have experimented with multiple possibilities, from tinkering with certain enzymes, hormones and stem cells to learning how brown fat communicates with the brain through the nervous system. While this work is primarily being conducted on lab animals, there's promise it could lead to the development an effective therapy for humans in the not-too-distant future.

Converting white fat into brown

What Kajimura finds exciting is adult human brown fat appears to be inducible, which means it can be converted from white fat.

"This is very encouraging to us because that means if you don't have it … then probably we can promote this browning of white fat," he says.

In people who are obese, brown fat doesn't burn much energy, although scientists disagree about whether it's because their bodies have less of it than thinner people, or their brown fat is somehow switched off, or inactive.

Kajimura, an assistant professor, believes it's the former. Brown fat seems not only to disappear with obesity but also with age, he says, which may explain age-related obesity. When people reach their 50s and 60s, around the same time they seem to lose brown fat, they commonly gain weight, even though their appetites don't typically change, he says. He adds that the reason brown fat seems to vanish in older adults is unknown.

In a study published in October in the journal Cell Metabolism, he showed white fat cells can be converted into heat-generating calorie burners, in mice at least, by inhibiting a protein called casein kinase 2, or CK2.

The hitch is, Kajimura explains, if you stop treating the mice, it appears this brown fat turns back into white. For pharmaceutical companies, this is good news, as it means they could potentially keep selling the treatment, he says. But it does raise the question of how we may be able to keep brown fat longer.

"Once you make it, we like to maintain it,"

Turning stem cells into brown fat

At the Ottawa Hospital Research Institute, senior scientist Dr. Michael Rudnicki has been studying how brown fat can be produced by targeting muscle stem cells, which are cells that have the ability to develop into different cell types. When he and his research team removed a short nucleic acid sequence called microRNA-133, the muscle stem cells of mice efficiently turn into brown fat, says Rudnicki, a professor of medicine at the University of Ottawa.

His research shows this same effect occurs by simply exposing mice to cold. "They shiver, and the muscle stem cells turn into brown fat," he says.

"Of course, all of us would be quite thin if it weren't for central heating," he adds.

The fact we can maximize the calorie-burning power of brown fat simply by being chilly certainly sounds alluring. Unfortunately, ramping up our brown fat through cold exposure isn't ideal.

"People don't really want to sit around in their underwear in their house at 5 or 10 degrees Celsius because it's uncomfortable," Steinberg says, adding that cold exposure also prompts people to eat more, which would likely offset any benefits.

Inhibiting serotonin

At his lab at McMaster, Steinberg is looking at another mechanism to trigger brown fat activity. He suggests the hormone serotonin, which exists at higher levels in the bodies of people with diabetes or who are obese, is a key target. He and his colleagues have found that inhibiting the body's production of serotonin in mice switches on their brown fat, protecting them from developing obesity, fatty liver disease, and diabetes.

The effect, he says, is like turning up the thermostat in your house and opening the windows to keep your furnace running. "All this energy they were consuming was just going out the window through the brown fat."

While serotonin is commonly known to influence one's mood, Steinberg explains we actually have two pools of serotonin. "Periphery" serotonin, which circulates in the blood, never mixes with the serotonin in the brain.

Blocking periphery serotonin, Steinberg says, has a lot of therapeutic potential and does not involve introducing artificial hormones. Rather, he says, "What we're trying to do is bring back the levels of this hormone to what they normally are in a lean person."

As promising as the growing research on brown fat may be, any therapies that emerge won't likely eliminate the need for healthful eating and exercise. But it can potentially complement existing methods of weight control.

"Diet and exercise works," Kajimura says, noting the goal remains to reduce energy consumption and activate energy expenditure. "You have to combine the two."

Follow related authors and topics

Authors and topics you follow will be added to your personal news feed in Following.

Interact with The Globe