Skip to main content

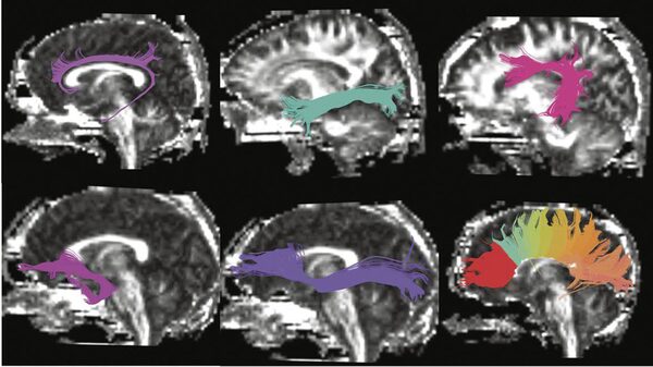
Researchers used diffusion tensor imaging, a form of magnetic resonance imaging, to compare the brains of people with different versions of a gene that plays a role in memory and learning. They found people with one version of the gene had subtle, age-related weaknesses in the white matter connections that form memory circuitry in the brain.

A gene that plays a role in memory and learning also shapes the architecture of the aging brain in ways that may make people more vulnerable to Alzheimer's disease, a team of Toronto researchers has discovered.

Aristotle Voineskos of the Centre for Addiction and Mental Health said the gene causes subtle weaknesses in areas of the brain that are the first to be affected by Alzheimer's. It is a common variant, carried by well over half the population, and is probably one of many risk factors related to the disease.

The gene produces an essential protein that helps keep neurons alive and healthy, particularly in the memory centres of the brain. It also helps new brain cells to form.

Dr. Voineskos and his colleagues plan to investigate whether there are ways to boost its production and keep brain cells alive for longer. They hope to find a new way to identify people at risk for Alzheimer's and ultimately a treatment for a disease that has proven stubbornly resistant to any of the drugs developed so far.

"If we can manipulate it, we might be able to keep brain cells healthy for longer," he said.

About 500,000 Canadians have Alzheimer's and related dementias and that number is expected to double within 20 years. There is evidence that the brain damage that is characteristic of the disease begins long before people begin to experience memory loss.

The study involved 69 healthy individuals between the ages of 19 and 82 and combined sophisticated brain imaging and genetics.

There are three different versions of the gene for brain-derived neurotrophic factor, or BDNF, one of the most important proteins in the brain related to plasticity, or the capability to learn and make new memories, Dr. Voineskos said.

Researchers don't yet understand what difference these gene variants make in terms of the disease. But the brain imaging showed that the 41 people in the study who carried the most common version of the gene tended to have subtle but significant differences in brain areas related to memory compared to volunteers of the same age with other versions of the gene.

There were age-related differences in the thickness of the cortex in areas involved in memory, as well as in the white matter connections that form the memory circuitry of the brain.

"Their brains are starting to change," Dr. Voineskos said.

He said these changes may prove to be a risk factor for Alzheimer's.

"You have these structural weaknesses that make you more vulnerable to other genetic or environmental influences."

But the volunteers with these changes showed no signs of memory problems, although they scored slightly lower on tests to measure verbal and visual-spatial memory.

Between 60 and 65 per cent of Caucasians carry the most common version of the BDNF. It is slightly more common among individuals of Asian ancestry and a little less common among those of African ancestry.

Judes Poirier, an expert on the genetics of the disease at McGill University in Montreal, said at least 40 studies have probed BDNF and Alzheimer's disease. He suspects the protein plays a role helping the brain repair damage.

But this is the first study to use sophisticated brain imaging techniques to show the gene's impact on specific brain structures.

The next step, Dr. Voineskos said, is to follow the volunteers in the study and see how their brains change over time and whether they develop Alzheimer's disease.

The team is also planning animal studies to see if it is possible to boost levels of BDNF in the brain and whether that can protect the memory centres.

Dr. Voineskos and his colleagues will also use the same combination of genetic testing and brain imaging to study how other genes may shape the brains of people with schizophrenia or other mental illnesses.

The paper was published on Tuesday in the Archives of General Psychiatry and involved contributions from scientists at the Centre for Addiction and Mental Health and other research organizations.

Interact with The Globe