The Morrises are finding a new rhythm as a family of four at their sun-drenched country home in the Eastern Ontario rural town of Inverary.
Julia and Brandon Morris, together now for 11 years, once feared this family could be out of reach. Nine months ago, the survival of two of its members depended on the success of a groundbreaking procedure.
For several years, the couple struggled with infertility. There were failed treatments. And then there was Hudson, a preemie who has blossomed into a cheerful three-year-old and who carries around a soft blankie like Linus in the Peanuts comic. This past April, Hudson became a big brother to Johnny.
By all accounts, Johnny seems like a dream: He drinks from a bottle with ease and is content to catch daytime naps. He leans back into his mother’s arms, shuts his eyes and gingerly places his tiny hand on top of her arm. When he’s not snoozing, he can be seen showing off wide grins in little blue jean overalls.
But Johnny’s journey to this place of peace was anything but enviable. At 23 weeks pregnant, Ms. Morris had a heart attack on New Year’s Day as she was about to go to bed. “I remember my heart, it felt like there was a helicopter in there,” she said. “It literally felt like someone was grabbing the bed and shaking it.”
Doctors determined the attack was caused by a cardiac myxoma. A nine-centimetre benign mass was attached by a small stalk to the wall dividing the chambers of Ms. Morris’s heart. She needed surgery to remove it, a rare and high-stakes medical scenario.
Ms. Morris was in her second trimester, which carries specific considerations for open-heart surgery. It could induce labour, but her fetus was not done growing. Ms. Morris was told her baby could face a very poor health outcome at this stage and termination was an option presented to her. But she was willing to take the chance.
(In the first trimester, open-heart surgery brings the risk of a miscarriage. In the third, the fetus is more advanced in its development, meaning a patient could first deliver and then undergo the procedure.)
Her medical team believes the procedure, which took place in January, is the first of its kind in the country at this stage of gestation. They intend to document it in a medical journal to help bolster a limited body of global literature in this area.
At a broader level, research is under way in Canada on patients who experience cardiac events in pregnancy. The goal is to establish a network that can learn about root causes and prevent them from occurring. Age demographics for pregnancies in Canada are changing, with people conceiving later in life, and physicians worry cardiac events in pregnant patients will likely continue to increase.
The heart attack
Last fall, at three months pregnant, Ms. Morris went to Banff, Alta., to celebrate her 40th birthday with Mr. Morris. She struggled to keep up on a hike.
As she watched other hikers fly by, Ms. Morris wondered whether the elevation was affecting her. But she looks back at this now through a different lens: Doctors suspect the mass was there for quite some time.
A few months later, over the 2024 Christmas holidays, Ms. Morris experienced pain in her feet, predominantly in the left. She had it checked at a clinic and no major concerns were flagged. She was told it could be gout, a form of arthritis, but that seemed off to her.
Her medical picture dramatically changed at around 10 p.m. on Jan. 1. She had spent the day at home, but when she turned in to bed, she felt pain in her chest.
At first, she and her husband wondered whether it was caused by indigestion. But less than half an hour later, Mr. Morris was on the phone to 911. When paramedics arrived a short time after, Ms. Morris was on the couch in the living room and repeated a few words, over and over again: “Help me, I’m pregnant.”
She was rushed by ambulance to the emergency room at the Kingston Health Sciences Centre. A series of tests and medical images followed, including an ultrasound of the heart known as an echocardiogram, which revealed the mass. There was an another, pressing danger: the chance she could suffer a major stroke. Pieces of the mass had broken off into her bloodstream and caused the sensations in her feet.
Ms. Morris needed to have it removed urgently. But tender discussions had to unfold. She had to weigh whether she should terminate her pregnancy before surgery, or go in at 25 weeks pregnant.
Cardiac surgeon Holly Mewhort and maternal-fetal medicine specialist Jonathan Ausman, both also assistant professors at Queen’s University, scoured a very limited body of global scientific research to try to learn more about open-heart procedures conducted on pregnant patients.
They knew surgery at this particular stage of gestation would pose serious risks to both mom and baby, including that the procedure could trigger premature labour that could adversely affect the infant. Ms. Morris did not want to end a pregnancy and wondered whether there would be another chance because of their history of infertility. She also feared she may not get through open-heart surgery at all if she were to terminate.
“I think that I would have just had a broken heart forever,” Ms. Morris said. “I knew it wasn’t the right choice for us. And I had this really strong, strong feeling that Johnny was just a strong baby.”
Ms. Morris wanted to remain close to home to be near family for the procedure, though she was given an option to go to Toronto. She said she felt close to the Kingston medical team, they understood her family’s decision and had carefully walked her through different scenarios.
With a decision in hand, it was soon time for the surgical team to scrub in.
Dr. Ausman had never been in the OR for an open-heart surgery before Dr. Mewhort operated on Ms. Morris. They were part of a team of more than a dozen working on the tricky procedure.
The surgery
Under the bright white light in an operating room on Jan. 15, Dr. Mewhort worked to carefully remove the mass in Ms. Morris’s heart that had also developed blood clots on it. In pregnancy, individuals are in a “hypercoagulable state,” which increases the risk of developing clots.
The extraction required precision because of the risk more pieces could break off into the bloodstream.
More than a dozen other medical professionals were part of the team in the operating room with Dr. Mewhort for six hours, including Dr. Ausman. It was his first time in the OR for an open-heart surgery.
Over several hours, Dr. Ausman said Johnny’s heart rate was monitored while Ms. Morris was on bypass, the machine that takes over for the body’s circulation. They also had an ultrasound machine set up.
When Johnny’s heart rate dropped, this information was relayed to Dr. Mewhort.
Despite the enormous stakes that day, Dr. Ausman remembers how calm it felt to be in that room.
While Dr. Mewhort’s soundtrack played in the background, including a flavour of indie rock, everyone focused on saving Ms. Morris’s life and keeping a close watch on her growing baby.
Outside of the OR, loved ones, friends and neighbours burned candles until they knew all went well: The mass was removed and labour hadn’t been induced.
Later, the gravity of the situation sunk in for the surgeon. She said she would never place herself in a patient’s shoes, but she related to her patient’s situation.
Dr. Mewhort’s twins are the same age as Hudson. She, too, had children later in life.
“I don’t think I actually really appreciated that until I got out of the OR that day,” she said. “That’s when it actually kind of hit me.”
Ms. Morris remained in the hospital for 10 days after the procedure, including six in the intensive-care unit. On some of her most difficult days, she thought of working toward one goal: getting back home to her family.

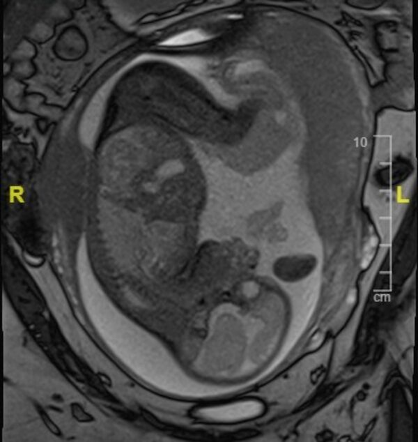
Five weeks after Ms. Morris's surgery, an MRI of the fetus – then 29 weeks and two days old – gave the medical team a clearer idea of how the brain was developing.
Johnny’s arrival
On the morning of April 15, Ms. Morris returned to an operating room in Kingston for a scheduled cesarean section.
By this point, she was feeling the emotional weight of everything she’d been through, and she just wanted to push fast-forward and hold her baby for the first time.
In the operating room, she was reunited with familiar faces: Dr. Ausman, as well as resident Cara van der Merwe, who had also cared for her during the pregnancy.
Dr. Ausman said the team felt a bit nervous but mostly optimistic; they wanted to see Ms. Morris complete this step.
After Dr. van der Merwe made the incision and Johnny was removed, the room heard him cry for the first time. That moment, Dr. Ausman recalls, was “incredibly special.”
It was not possible to get a thorough picture of how Johnny was doing medically at that immediate moment and tests needed to be done to learn more about the state of the infant’s health.
But Dr. Ausman said it was a positive sign to see a vigorous, pink newborn.
When Ms. Morris held Johnny skin-to-skin for the first time, she was overwhelmed with relief. Her baby was here. He was safe. She thought he looked so much like Hudson, who later came to meet his brother.
Dr. Ausman texted Dr. Mewhort to let her know the baby arrived safely. Later, she visited the Morrises and had a chance to meet Johnny. She remembers how happy they all looked. A follow-up MRI later showed the extraction of the mass was a success.
Since the time of the surgery, Ms. Morris has graduated from twice-weekly cardiac rehab sessions and remains deeply grateful to the Kingston medical team, considering them heroes.
At six months postpartum, Ms. Morris is getting her life back. Over the recent Thanksgiving weekend, she went hiking with Johnny tucked into a baby carrier to celebrate her 41st birthday.
Sometimes, when she glances down at her chest and sees a red scar traced down the middle, she feels proud of herself, too.
“It’s something I am going to have to carry with me forever.”
The Age of Breakthroughs: More from The Globe and Mail
Video: A checkup on the twins
In 2023, Adiah and Adrial Nadarajah set the world record as youngest surviving premature twins: Doctors in Toronto saved their lives 22 weeks and zero days into Shakina Rajendram’s pregnancy, and they were born 126 days early. For their most recent birthday, The Globe followed up on the now vibrant siblings.
The Globe and Mail
The Decibel podcast
Maryam Fatima had her first seizure within minutes of being born. On bad days, she had hundreds. To save her brain, doctors would have to destroy part of it with a radical surgery, never used in Canada before. Health science reporter Jennifer Yang spoke with The Decibel about what happened next. Subscribe for more episodes.
Thomas Verny on cutting-edge science
Cells are the smallest, most basic unit of life. Do they also hold memories?