On a February morning last year, Prakash Muthusami peered at a panel of display screens as he carefully snaked a tiny catheter into the delicate blood vessels of a baby’s brain.
About two hours had passed since Maryam Fatima’s mother kissed her 11-week-old daughter goodbye, tucking a Quran into her pink hospital blankets. Those blankets were now replaced with a blue surgical drape and Maryam was intubated and unconscious, paralyzed under deep anesthesia. Not even an eyelid flickered as electrical storms in her brain caused seizure after seizure.
Those seizures were what brought her into Dr. Muthusami’s procedure room at Toronto’s Hospital for Sick Children in the first place. Maryam had her first seizure within minutes of being born and they never stopped coming – sometimes every minute. On her worst days, Maryam suffered hundreds of seizures, so many she couldn’t eat or gasp in a breath.

Maryam Fatima on the day of her first procedure in February, 2024.Muzna Nafees/Supplied
Four weeks after her birth, it looked as though Maryam was unlikely to survive. But on this winter morning, Dr. Muthusami and his team were determined to give her a chance.
In many ways, it was a typical workday for Dr. Muthusami, a neurointerventionist who has performed intricate brain procedures on some 2,000 patients in the last 13 years. Some were even smaller than Maryam, whose body was so tiny it could fit onto just the headrest of the procedure table. At under six pounds, she was no bigger than a pet rabbit.
But Dr. Muthusami was about to try something that no Canadian doctor had ever done before; in fact, it had only been attempted a few times worldwide. With his catheters finally in position, Dr. Muthusami was ready; he filled a syringe and slowly pushed the plunger, injecting its contents into Maryam’s brain.
When Maryam was born, her mother Muzna Nafees had a kind of maternal urge to put her baby back inside her body. There, she felt her daughter had been safe; now she was exposed to the dangers and uncertainties of life.
Maryam was a firstborn for Ms. Nafees and her husband, Shahban Beg. Ms. Nafees was working for an e-rickshaw manufacturing factory in Lucknow, India when her boss introduced her to his younger brother, a gentle and patient man of few words. “He was very adamant that we should get together,” she laughs.

Muzna Nafees and her husband Shahban Beg on vacation in Rajasthan, India in 2021.Muzna Nafees/Supplied
The couple married in January, 2019, and later moved to Toronto, where Ms. Nafees quickly landed an accounting job and Mr. Beg found work at a jewelry auction company. In 2023, they decided to try for a baby; Mr. Beg, one of six brothers, was delighted to have a girl.
Ms. Nafees was doing laundry when her water broke. Maryam was born the next day on Dec. 3, 2023, delivered by Caesarean section at Mount Sinai Hospital, just a ten-minute walk from her family’s basement apartment in downtown Toronto, which they share with three other newcomers from India.
After meeting mom and dad, Maryam was whisked away to be checked and cleaned while Ms. Nafees rested in the recovery room. For the first hour of their new life as parents, everything was normal. But then, one of the nurses came in with unsettling news.
“She told me that the doctors are seeing her, she is okay,” Ms. Nafees recalls. “But we saw some kind of twitching in her right arm and right leg.”
It was a seizure. Maryam was transferred to the neonatal intensive care unit (NICU), where she continued having seizure after seizure. After a battery of tests, a brain MRI revealed the problem.
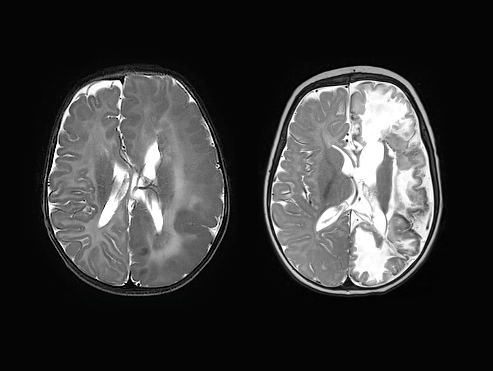
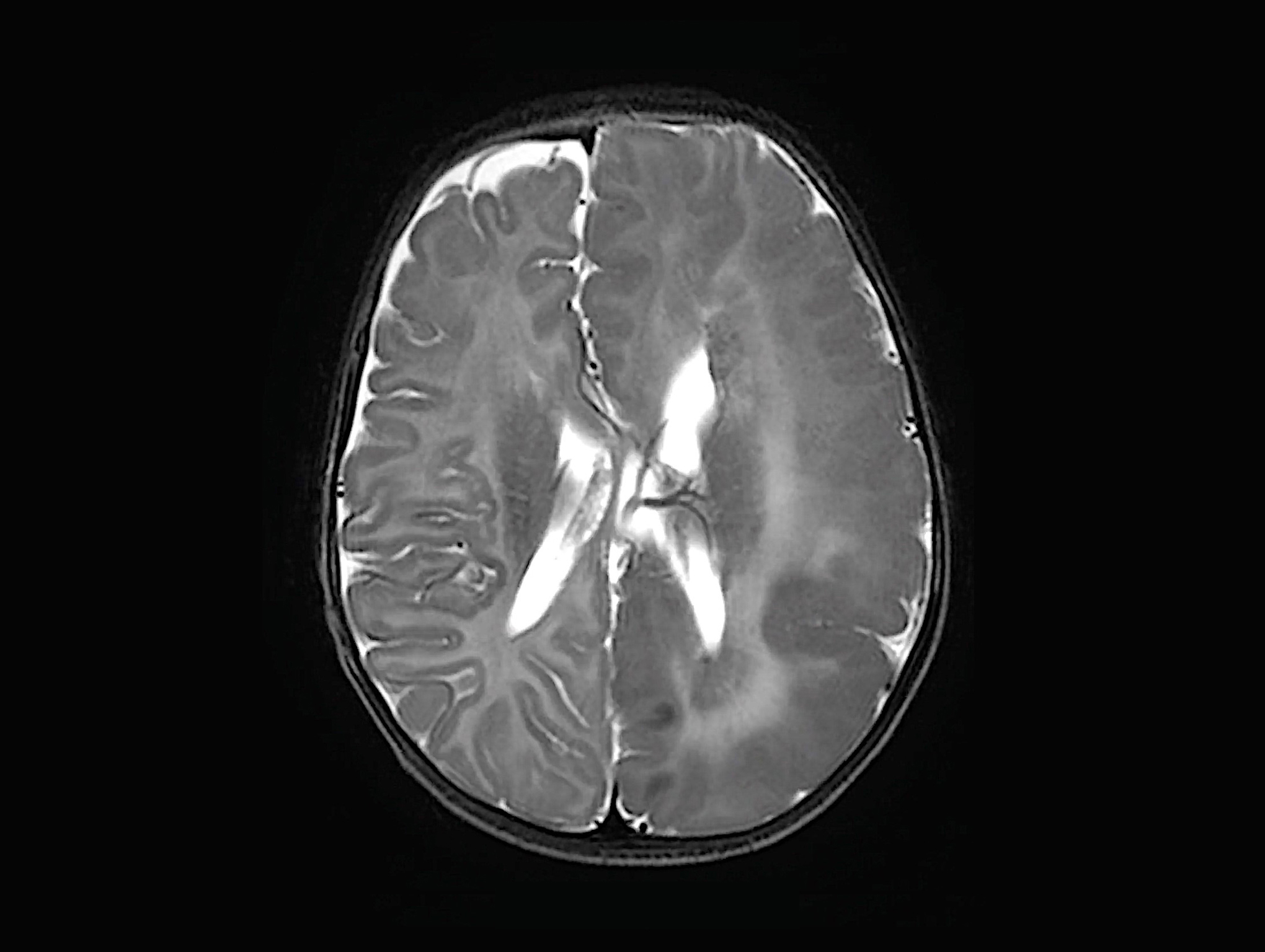
If the MRI scan were a piece of art rather than a medical image, the two halves of Maryam’s brain could have been rendered by entirely different artists. Her right brain hemisphere was like a pencil sketch, a work of realism; the brain folds looked clear and sharply defined, with the grey and white matter separated by distinct borders.
Her left brain hemisphere, however, was an abstract watercolour. The brain ridges looked puffy and haphazard, with the grey and white matter blurring together, as though too much water in the brush had caused the paint to bleed.
The left hemisphere of Maryam’s brain was also noticeably bigger. She was transferred to SickKids, where doctors diagnosed Maryam with hemimegalencephaly (HME), a rare birth defect where one side of the brain is abnormally large. The brain hemisphere’s function is so disturbed, and the neurons so disordered, that it is effectively capable of only one thing: causing seizures.
Further scans and genetic testing revealed that Maryam also had tuberous sclerosis complex (TSC), a disorder that can cause benign tumours – or “tubers” – to grow in various organs, including the heart and brain.
The next two weeks were a fog of worry and exhaustion. Ms. Nafees was herself hospitalized during this time for symptoms of pre-eclampsia and she and her husband would shuffle between her hospital and Maryam’s, watching in helpless despair as their baby was trapped inside a never-ending circuit of electrical misfire.
“The seizures came in a row, in clusters, every minute, every two minutes,” Ms. Nafees says. “It’s a very helpless feeling. She is in pain and you can do nothing. Just watch.”
On Christmas Eve, 2023, doctors called a family meeting. Maryam’s seizures could not be controlled with medication, they explained, and surgical options weren’t possible for a baby of her age and size. Her chances at survival were bleak.
“They thought that it was stressing her body, her health, too much. She was suffering a lot,” Ms. Nafees recalls, tears dripping down her cheek. “It would be better if we allow nature to take its course.”
Three weeks after she was born, Maryam was moved into a private hospital room as a palliative patient. Her doctors couldn’t say how long she might survive, or even whether her remaining time could be measured in hours, days or weeks.
They laid out one possible scenario: When Maryam’s nasogastric feeding tube was removed, she would struggle to feed. Her oxygen levels would drop, her heart rate would slow. She would get sleepy and sluggish and eventually die.
Maryam was disconnected from her medical supports. All they could do now was wait.

If Maryam had been bigger, older and less fragile, there was, in fact, an option for bringing her seizures under control.
In 1928, American physician Walter Dandy, one of the pioneers of neurology, published a report detailing his radical idea for treating incurable brain tumours: removing the diseased half of the brain.
The surgery, now known as a hemispherectomy, was ultimately abandoned as a viable treatment for brain tumours. But a decade later, it was attempted on a 16-year-old girl at Toronto General Hospital.
The girl had suffered a brain injury as a newborn, which left her with epilepsy as well as paralysis on the left side of her body. Kenneth George McKenzie, Canada’s first neurosurgeon, decided to remove her right brain hemisphere; while her paralysis didn’t improve, her “fits ceased completely,” according to a 1939 article.
Doctors who examined her afterwards were impressed by her “striking” physical well-being and mental alertness. And while she lost some forms of sensation on one side, she had good movement in her major joints.
Throughout the 1950s, “anatomic hemispherectomies” were increasingly used to treat drug-resistant epilepsy, but over time it became clear that a significant proportion of patients were suffering delayed surgical complications, sometimes resulting in death.
The procedure has since been refined to be safer and less invasive. Today, minimal brain tissue is removed and rather than removing the dysfunctional hemisphere, it’s simply disconnected from the healthy side of the brain – a “functional” hemispherectomy.
“It still survives,” says SickKids neurosurgeon James Rutka. “But it’s offline.”

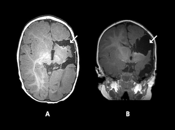
MRIs for a two-and-a-half-old patient of Dr. Rutka where top (A) and side (B) views show minimal brain tissue removed during a functional hemispherectomy.The Hospital for Sick Children/Supplied
Since 1987, Dr. Rutka and his colleagues at SickKids have done hemispherectomies on at least 28 children with HME. But what kind of future can a child have when half of their brain goes dark?
To answer the question, Dr. Rutka pulls up photos of a former patient, who had a functional hemispherectomy when he was six. In one picture, the boy is downhill skiing; in another, he’s giving a thumbs up while scuba diving. Later photographs show a tanned and muscular young man, gripping a tow rope while wakeboarding. The boy is now a university graduate.
“You can have an amazing outcome,” Dr. Rutka says. “It’s called the plasticity of the human brain. The younger you are, the more likely the other parts of the brain are able to take over the damaged areas – or parts of the brain that might be missing.”
Dr. Rutka has now done hemispherectomies on patients as young as two months old but the risks are often unacceptably high for babies under one. The biggest danger is blood loss, he explains. A baby’s reserve is so small, that even a small bleed can prove fatal.

Mr. Beg holding his daughter Maryam at three weeks old after she was disconnected from medical supports.Muzna Nafees/Supplied
Ideally, a baby should weigh at least seven to 10 kilograms before undergoing a hemispherectomy, Dr. Rutka says. In the NICU, Maryam was barely a month old and weighed less than three kilograms.
Before Maryam was transitioned into palliative care, her parents asked about functional hemispherectomy, which Mr. Beg had come across in his own research. But they were told that Maryam was too small to undergo the surgery, and doctors weren’t sure she’d survive to the point where she would qualify, according to Ms. Nafees.
When Maryam was disconnected from her medical supports, her seizures continued, as everyone expected. But then something remarkable happened.
She started drinking from a bottle. Her temperature stayed normal, as did her vital signs. She was breathing, moving, looking alert. Maryam was, in a word, alive.
Ms. Nafees could tell that some hospital staff were surprised, but she was not. In the weeks since giving birth to Maryam, she had come to understand something fundamental about her daughter: She was strong.
“Maryam proved to everyone, against all odds, that she was going to fight for her life,” says Ivanna Yau, a nurse practitioner with SickKids’ epilepsy team. “This was not the end for her.”

Ivanna Yau, nurse practitioner in the epilepsy program at SickKids, outside the hospital in May 2025.Melissa Tait/The Globe and Mail
Clearly, not intervening was no longer an option, Ms. Yau says; a new plan was formed. Maryam’s parents would manage her seizures at home until she was big and strong enough for brain surgery. Ms. Yau – who Ms. Nafees calls a “sister, life changer, saviour” – joined Maryam’s medical team and stayed in constant communication with her parents, helping them manage her seizures and medications.
But about a month after going home, Maryam woke up one day and started immediately seizing. The seizures continued nearly every minute for eight hours, at which point she began turning blue.
Ms. Nafees rushed Maryam to the emergency room at SickKids. There, in the epilepsy monitoring unit, she was having near-continuous seizures, between 30 and 40 an hour.
A patient with drug-resistant epilepsy is defined as someone who fails on two good medications, Ms. Yau says. Maryam was on six medications, in addition to regular boluses of “rescue medications” reserved for emergency situations, and still she kept seizing.
“It was really heartbreaking,” Ms. Yau says. “You’re in a profession that you want to help, but you feel like nothing is helping ... You’re trying to give them hope, and yet you’re also suffering alongside with them.”
Ms. Yau says a turning point was when Maryam’s seizures started affecting the other side of her body, suggested her healthy brain hemisphere was now being affected and therefore at risk. Her breathing was also under threat, prompting increasingly urgent discussions about whether Maryam needed intensive care.

Maryam was rushed back to SickKids in February, 2024, when her seizures suddenly worsened and she began turning blue. She was admitted to the epilepsy monitoring unit, where her seizures became almost continuous and the nurses were overwhelmed with her care.Muzna Nafees/Supplied
Time was running out. Ms. Yau started asking around, searching for options. If Maryam was still too small for a functional hemispherectomy, what else could they do? That’s when someone pointed her towards some papers published out of Children’s National Hospital in Washington, D.C.
One paper, published in the Journal of NeuroInterventional Surgery, described three babies with drug-resistant seizures caused by HME, Maryam’s exact condition. The youngest baby was only 13 days old.
Their doctors had taken a radical approach for stopping their seizures, with thrilling results – all three were now seizure free. One patient hadn’t had a seizure in four years.
It was a glimmer of hope. It was also a hard sell.
“We’re talking about something drastic,” Ms. Yau says. “We’re causing a stroke.”

When open surgery isn’t an option, doctors do have another trick for reaching inside the brain.
As a medical student in Pondicherry, India, Prakash Muthusami was enthralled by doctors who practiced interventional radiology – a specialty that treats diseases using imaging technologies, like X-ray and MRI, to guide catheters inserted into the patient’s blood vessels.
It was a kind of medical magic that felt out of reach, almost mystical. But when Dr. Muthusami’s friend suffered an aortic dissection, he watched as interventional radiologists fixed this life-threatening condition using just a pinhole opening at the top of his leg. “That, to me, was so fascinating.”
Dr. Muthusami wound up specializing in pediatric neurointervention, treating strokes, aneurysms and blood-vessel abnormalities in the brain without ever cutting open a child’s skull.
Imagine, for a moment, that the brain is an underground pool inside a rocky cavern. One way of reaching the pool is by drilling through the rock – traditional brain surgery. Another is neurointervention; by mapping the underground tributary system that feeds into the pool, you find one of the connected waterways and travel along until you reach the cavern.
“We use blood vessels as conduits,” Dr. Muthusami says. “Much like ships and boats sail up rivers and streams, we use catheters and wires.”
Recent years have seen neurointerventional approaches increasingly used for childhood diseases, sometimes in game-changing ways. In the past, treating retinoblastoma – the most common form of eye cancer in babies – often meant surgically removing the eye. Nowadays, neurointerventionists can thread a microcatheter into the artery of the baby’s eye, delivering a tiny but precise dose of chemotherapy.
“This is an area where technology moves very, very fast,” Dr. Muthusami says. “There are diseases that yesterday could not be treated. But today, there’s the technology and ability.”
A few years ago at SickKids, which Dr. Muthusami joined in 2013, he was in a meeting with neurology colleagues when someone flagged some papers published by a medical team in Washington, D.C.
They described an audacious new approach for treating babies with drug-resistant seizures caused by HME: an “endovascular embolic hemispherectomy.”
These newborns were too small to undergo open brain surgery, so their doctors devised a workaround. Using catheters and neurointerventional techniques, they intentionally triggered a series of strokes.
In other words, they couldn’t disconnect the faulty brain hemisphere, so they killed it.
Dr. Muthusami was intrigued but cautious. “We discussed it, nodded around the table, and then moved on,” he says. “It’s so novel that you don’t want to introduce something like that unless ... we are backed up against the wall.”
That moment arrived in February, 2024, when he learned about Maryam. Dr. Rutka and Ms. Yau both approached him about Maryam’s case, explaining how she had run out of options.
Would he consider attempting an endovascular hemispherectomy, like the one described in the study out of Washington?
“I think I was silent for a few seconds,” Dr. Muthusami says.

Vanessa Rea, a neurovascular technologist, goes over imagery with pediatric neurointerventionists Dr. Muthusami and Dr. Carmen Parra-Farinas at SickKids on May 15, 2025.Melissa Tait/The Globe and Mail
Those seconds contained a jumble of questions. Was he ready for something like this? Was his team? What if something went wrong and Maryam wound up in a worse state? He called an old friend and mentor for advice: Was he crazy to consider this?
“It was very counterintuitive to our entire lifelong training,” he says. “We protect the brain. But here, we are actually going in and causing many strokes.”
On the other hand, what was the cost of not trying? Maryam’s seizures were becoming life-threatening and he had the team and resources required to take a chance on a risky and novel procedure. And the longer they waited to stop her seizures, the longer her brain was prevented from developing normally, putting Maryam at ever-greater risk of profound disabilities.
By morning, he knew his decision. “This was the only way we could give her a fighting chance.”
But the ultimate decision lay with Maryam’s parents, and the medical team could see how daunting this idea might be to them, Ms. Yau says.
This was a procedure that had never been done before at SickKids, or anywhere in Canada. They would be intentionally damaging parts of her brain. And the risks were stark; a small “misadventure” with the guide wire could tear an artery, or the strokes could trigger dangerous brain swelling. Death was a possibility.
Furthermore, the procedure wasn’t even expected to cure Maryam’s seizures – just quiet them down to buy her time until she’s ready for open brain surgery.
Her parents deliberated for a day and a half, but there wasn’t much debate. “We did not have any options other than saying yes,” Ms. Nafees says. “Because we can’t see her like this.”
Dr. Muthusami and his team started by using MRI scans to create a “map” of Maryam’s left brain hemisphere. Then, over several days, they devised a strategy for taking it down.
They needed to avoid triggering one big stroke, which would increase the risk of brain swelling. So instead, they planned a sequence of mini strokes; think of the careful, stepwise demolition of a building, with dynamite planted in different wings across the building to avoid triggering one massive collapse.
Maryam’s endovascular hemispherectomy ultimately took place over four procedures, each separated by about a week. Each time, Dr. Muthusami would stroke out a different brain territory, until eventually they all came together to span the entire brain hemisphere.
The night before Maryam’s first procedure, Ms. Nafees stayed at the hospital overnight at her daughter’s bedside, as she regularly did. It was a sleepless night, with Maryam’s oxygen levels fluctuating constantly and her seizures firing non-stop. Perhaps the busyness held Ms. Nafees together; she reflects now that a still, quiet moment with her daughter in the dark that night could have invited in the fears that threatened to break her.
At 8 a.m. on Feb. 20, Ms. Nafees sent Maryam off with a kiss and the Quran that had been given to the family by SickKids’ religious care team. Then she and Mr. Beg settled into the waiting room, where they sat and prayed.
Throughout the entire procedure, Maryam’s seizures continued. She wasn’t moving because of the anesthesia but the electrical activity in her brain was picked up by the EEG electrodes on her scalp.
Not too long after Dr. Muthusami deployed his first salvo of microbeads, one of his colleagues from the epilepsy team announced what they were seeing on Maryam’s EEG readouts.
“We were watching those seizures die away,” Dr. Muthusami says. “When we were targeting an area, the seizures from that area would go away.”
It was working.

About four hours after Maryam was wheeled into the angiography suite, the room filled with the lapping of ocean waves, the sound effect layered into the opening bars of Champagne Supernova, the 90s Oasis hit. How many special people change? How many lives are living strange?
It’s the song Dr. Muthusami likes to play when wrapping up a major procedure, though he can’t exactly explain why. And before parting ways, he and his team – which on this day included a second neurointerventionist, radiology fellows, technologists, nurses, epileptologists and anesthesiologists – often turn to each other to shake hands or high five.
From there, Dr. Muthusami’s first stop was the family waiting room.
“He told me that everything went very well,” Ms. Nafees says, her voice quavering as she recalls the moment. “And she was very strong, like a rock.”
Maryam wasn’t out of the woods yet, though. After a procedure like this, there are worries of a bleed or brain swelling, which could require emergency surgery to remove a piece of the skull. One of the first 13 babies to undergo this procedure in Washington, D.C. died afterwards from complications, according to a recent paper. Maryam was taken to the ICU for close monitoring.
But everything was fine. And when Ms. Nafees saw her daughter’s first seizure after the procedure, she noticed an immediate difference; her limbs were no longer curling and the twitching was now mainly restricted to her face.
“Her EEG pattern really changed,” says Ms. Yau, who was on vacation at the time but received play-by-play updates from her team. “There were a lot of shouts of joy, screaming even. We were all ecstatic.”
Maryam’s second procedure unfolded just as smoothly, as did her third and fourth. By the time she was discharged from SickKids on April 17th – a date that Ms. Nafees considers to be her daughter’s true homecoming – she was down to just one or two seizures per day.
The plan was to bring Maryam back for a functional hemispherectomy in about six months, but then something surprising occurred.
Over the summer, while visiting family in India, Maryam was playing at her grandmother’s house when her eye started twitching, just for a few seconds. To date, this remains Maryam’s last seizure.
Her doctors now believe she may never need brain surgery. “That exceeded our expectations,” Dr. Muthusami says.
It’s impossible to say what lies ahead. Maryam is still taking seizure medications and her tuberous sclerosis could always present new problems down the road. At 18 months, Maryam has yet to crawl or walk and is noticeably weaker on one side, giving her a slightly lopsided grin.
But the living half of her brain is already taking over. Today, Maryam is a happy toddler who loves spicy food, clapping along to The Wheels on the Bus, and smiling at her grandmother during one of their daily video chats. When her dad absentmindedly puts down his phone, his daughter’s tiny hand will dart out to gleefully snatch it.
Ms. Nafees is a woman of steadfast beliefs – in God, in fate. She believes it was Maryam’s destiny to be born in Toronto, where she had access to not just a specialist like Dr. Muthusami, but the constellation of medical expertise required to pull off such an extraordinary procedure.
But her greatest belief, from the moment she laid eyes on her little babu, has always been in Maryam.
“Whatever she wants to do, I think she will do,” she says. “It was she who fought for herself.”



